Anatomía Patológica
Servicios Científico Técnicos
Hemos establecido una colaboración con el Laboratorio de Patología Comparada que dirige Marcelo de las Heras, Catedrático de Histología y Anatomía Patológica Veterinaria y Diplomado por el Colegio Europeo de Patología Veterinaria, que cuenta con amplia experiencia en Patología tanto de animales domésticos como de laboratorio y que ofrece asesoría en el diseño de experimentos, interpretación de resultados y elaboración de estudios anatomopatológicos en conjunto con la Unidad.
Disponemos de los medios técnicos y conocimientos necesarios para realizar las técnicas que comprenden el procesado de muestras animales y humanas para investigación biomédica, incluyendo el tallado, la inclusión en parafina y OCT, así como técnicas de tinción de rutina y especiales.
Ofrecemos también la caracterización inmunohistoquímica de las muestras, la puesta a punto de anticuerpos para tinción inmunohistoquímica y microdisección por laser .
Contamos con equipos especializados para el procesado de materiales incluidos en resina (implantes, biomateriales, hueso) por medio del sistema EXAKT de sierra de banda y pulido.
Ofrecemos, además, asesoría técnica y científica personalizada en todo el proceso desde la toma de muestras hasta la observación al microscopio.
El SCT de Anatomía Patológica forma parte de la Plataforma de Medicina personalizada de Precisión del IACS
Servicios
Vacío
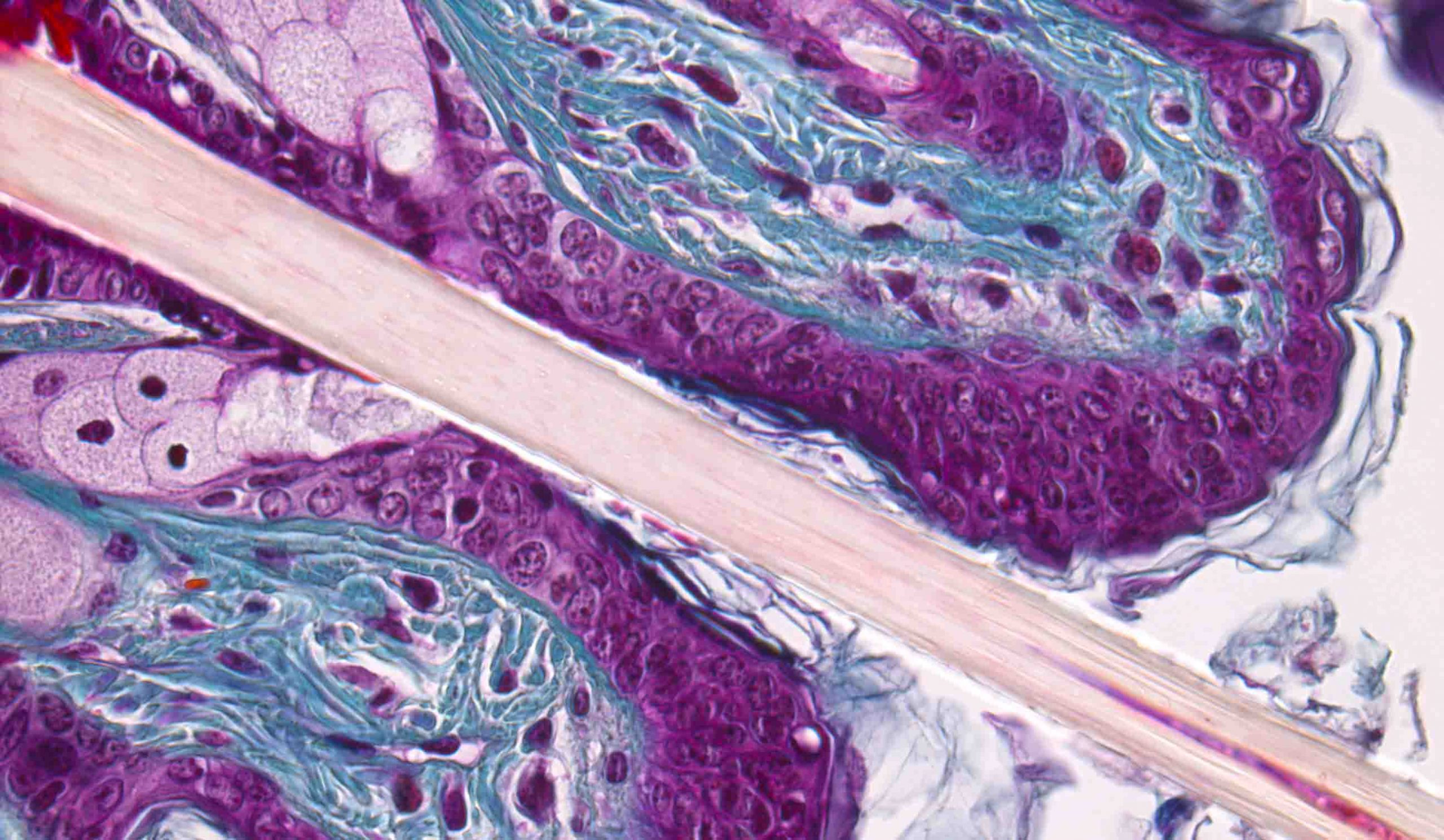
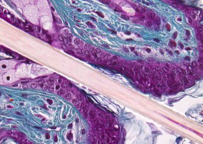
Procesado de tejidos y tinción de preparaciones
Para el procesado de tejidos o cultivos celulares (pellet celulares) la Unidad cuenta con una mesa de tallado de muestras, un procesador rápido de tejidos, una unidad confeccionadora de bloques, un microtomo y un criostato así como un teñidor automático de preparaciones. Este equipamiento, permite el procesado de las muestras hasta su inclusión en parafina u OCT y la tinción con diferentes técnicas según demanda hasta el montaje de las preparaciones.
Procesado de muestras
Todas las muestras vendrán acompañadas de una hoja identificativa y explicatoria del contenido de partida, historia y necesidades así como observaciones.
Tinción de preparaciones
Todas las muestras vendrán acompañadas de una hoja identificativa y explicatoria del contenido de partida, historia y necesidades así como observaciones si las hubiera.
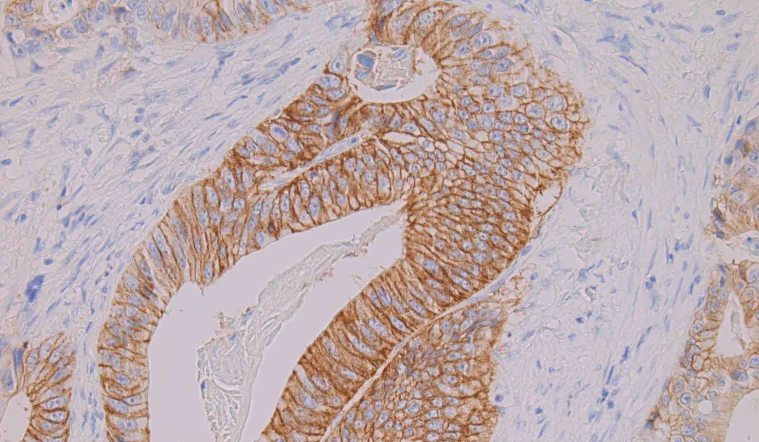
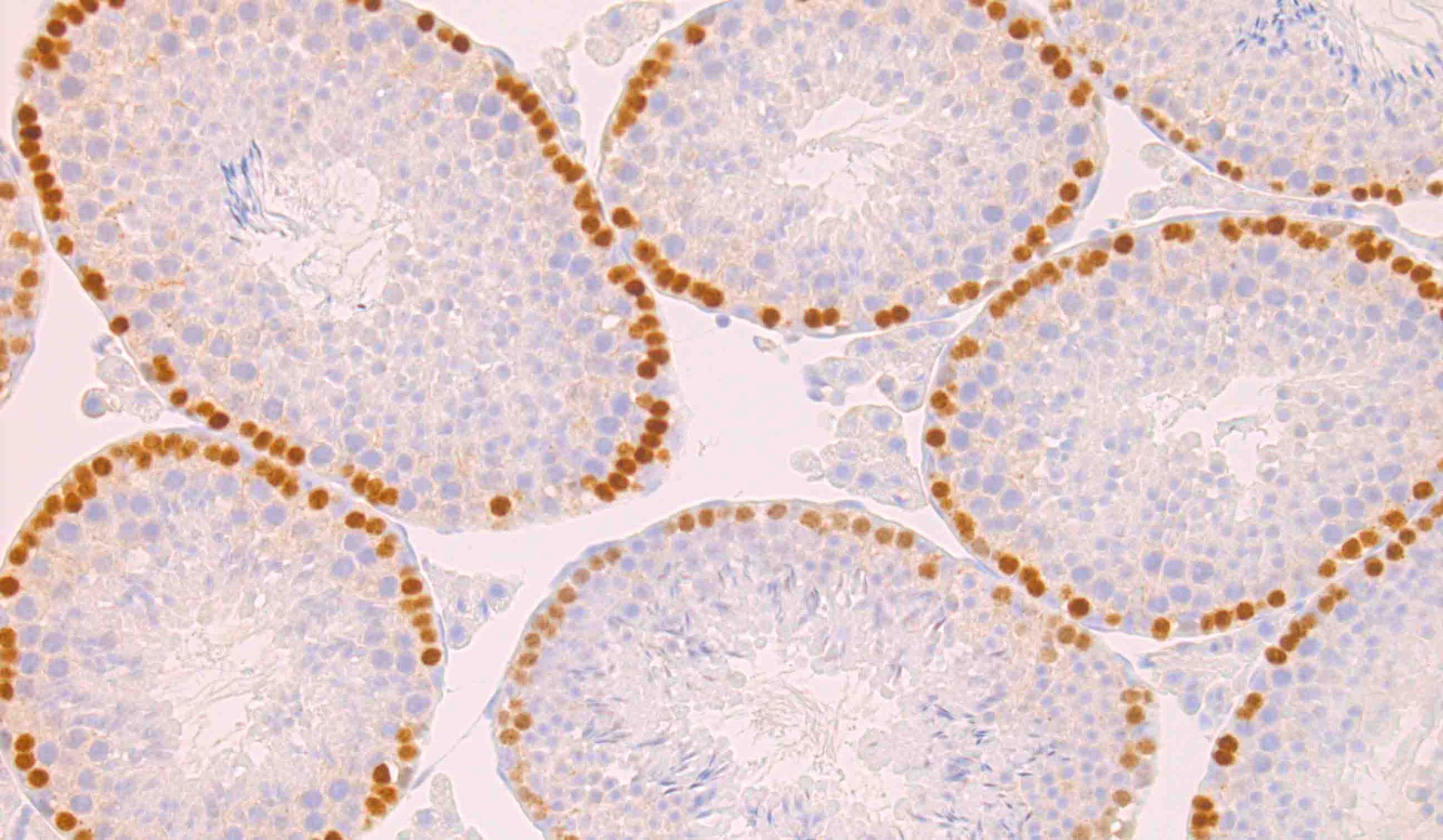
Inmunohistoquímica
La tinción inmunohistoquímica permite la detección de constituyentes tisulares o celulares (antígenos) mediante interacciones antígeno-anticuerpo, identificando el sitio de unión específica del anticuerpo bien por marcaje directo del anticuerpo (método directo) bien con el uso de un método de marcaje secundario (método indirecto).
Mediante el equipo de inmunotinción automática del que disponemos en la Unidad, se consigue automatizar y estandarizar la técnica de tinción inmunohistoquímica, reduciendo el tiempo de realización. Contamos con un servicio de optimización o puesta a punto de anticuerpos (tinciones inmunohistoquímicas) y la asesoría en la búsqueda de anticuerpos adecuados para la aplicación de la técnica inmunohistoquímica en diferentes condiciones con el fin de obtener resultados homogéneos y reproducibles.
Todas las muestras vendrán acompañadas de una hoja identificativa y explicatoria del contenido de partida, historia y necesidades así como observaciones si las hubiera. En caso de muestras humanas deberán ir acompañadas de controles positivos para el anticuerpos solicitado
Microscopía en campo claro y epifluorescencia
Contamos con un microscopio de campo claro y doble observador para la discusión de casos. Además, contamos con un microscopio de campo claro con cámara digital para la realización de microfotografías, así como epifluorescencia, que permite la localización de un antígeno en compartimento celular mediante marcaje con fluorocromos y posterior visualización en la totalidad de la muestra.
Sistema EXAKT de preparación de muestras por sierra de banda y pulido
El equipo está diseñado para el procesado de muestras que contengan hueso sin descalcificar o tejidos con biomateriales para posterior análisis histológico e histomorfométrico de la interfase biomaterial-tejido. Las muestras se incluyen en resina basada en metacrilato (Technovit 7200) y posteriormente se obtienen cortes histológicos de tejidos mineralizados o tejidos con implantes, mediante corte por sierra de banda recubierta de diamante y pulido de la misma.
Todas las muestras vendrá acompañadas de una hoja identificativa y explicatoria del contenido de partida, historia y necesidades así como observaciones.
Equipamiento
- Mesa de tallado Bio-Optica 1900
- Procesador de tejidos Tissue-Tek Xpress x50
- Unidad de confección de bloques y placa fría Leica EG1150 y HI 1210
- Microtomo de rotación Leica RM2255
- Criostato Leica CM1950
- Equipo de tinción automática Leica ST5020
- Equipo cubreobjetos automático Leica CV5030
- Equipo de inmunotinción automático Dako Autostainer Plus Link
- Microscopio (campo claro y epifluorescencia) Leica DM5000B y cámara digitial refrigerada Leica DFC420
- Microscopio doble observador Leica DM 2500
- Sistema EXAKT de procesado de materiales de sierra de banda y pulido
Próximos eventos de los SCT
Seminario cfRNA en plasma: nuevas estrategias para el descubrimiento de biomarcadores no invasivos19 febrero | 12:30 am - 2:00 pm
Jornada de presentación del estudio de eventos adversos vertiginosos en candidatos e implantados cocleares en Aragón17 febrero | 5:30 pm - 6:30 pm
Noticias de los SCT
Cuarenta especialistas se formarán en cirugía de mano y microcirugía en el CIBA
Las instalaciones de Cirugía Experimental, que comparten el IACS y la Universidad de Zaragoza en el CIBA, acogerán las prácticas del curso Micro y Mano «Pedro Marquina», que celebra este año su XXXIX edición, del 10 al 13 de marzo
El IACS participa un año más en las actividades del Día de la Mujer y la Niña en la Ciencia
Científicas del IACS se desplazarán a distintos centros educativos para participar en las actividades de conmemoración del 11F
Desde el IACS se lleva también a cabo una campaña en la web divulga.iacs.es, con el objetivo de visibilizar la labor de las mujeres científicas del Instituto, y despertar vocaciones entre las más pequeñas
Visita virtual
Si quieres visitar más instalaciones del CIBA, accede a la visita virtual de Ciencia Abierta 24 horas.
Contacto SCT Anatomía Patológica
Centro de Investigación Biomédica de Aragón (CIBA). Planta A
Avda San Juan Bosco 13, 50009, Zaragoza
Tfno 34 976 71 38 19
Técnico de área
Alicia de Diego
Tfno. 976 71 4864
adediego.iacs@aragon.es
Técnico de laboratorio
Alejandro Ibañez Deler
Tfno. 976 71 4574
aibannezde.iacs@aragon.es
